歯周病は「痛くない病気」です
今回はこのテーマについて、くきデンタルオフィス代表歯科医師の九鬼ゆりがお答えしていきます。
「歯が痛くないから大丈夫」
「腫れてないし問題ないから歯医者には通っていなかった」
これは、歯周病の患者さんから非常によく聞く言葉です。
歯周病は、ほとんど痛みなく進行する病気です。
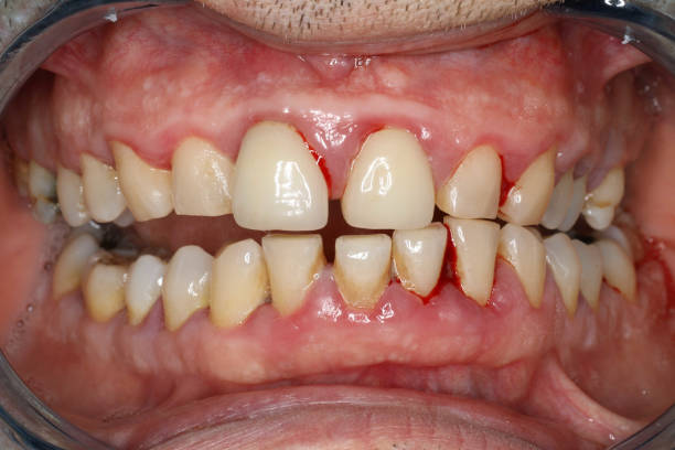
そのため、自覚症状がないまま進み、気づいた時には歯を支える骨が溶けているというケースも少なくありません。
実は歯周病は20歳頃から痛みがなく始まっています
歯周病というと「中高年の病気」というイメージを持たれがちですが、実際には20歳前後からすでに始まっている方が多いのが現実です。
・歯ぐきから血が出る
・口臭が気になる
・朝起きた時に口の中がネバつく
これらは、歯周病の初期サインであることが多く、本人が気づかないうちに進行していきます。そして最終的には40代から主に全身の様々な疾患を起こしにかかる怖い病気です。
当院で行っている歯周病検査について
当院では、歯周病を正しく把握するために、歯周ポケットに器具を入れて、精密検査を行っています。
この検査では、
・歯周ポケットの深さ
・出血の有無
・歯ぐきの炎症状態
を、すべての歯・すべての面で細かくチェックします。
見た目がきれいに見えるだけで、歯ぐきの中(歯周ポケット)では炎症が進んでいることは珍しくありません。
「歯ブラシしかしていない」=歯周病予備軍
はっきりお伝えします。
歯ブラシしか使っていない方は、ほとんどの場合、歯周病があります。
これは決して脅しではなく、検査結果として現れる事実です。
歯ブラシだけで汚れが落ちるのは、
【歯の表面の一部】だけです。
実際に歯周病の原因となる汚れは、
・歯と歯の間
・歯と歯ぐきの境目
・奥歯の裏側
など、歯ブラシが届きにくい場所に溜まります。
歯間ブラシを使っている人は「健常」なことが多い
一方で、当院の検査で分かるのが、
歯間ブラシを日常的に使っている方は、歯周病が非常に少ないという事実です。
歯間ブラシを使うことで、
・歯周ポケット内の汚れ
・歯間部のプラーク
を効率よく除去できます。
結果として、
・出血がない
・ポケットが浅い
・歯ぐきが引き締まっている
健常な歯ぐきの状態を保てている方が多いのです。
「歯磨き=歯ブラシ」ではありません
多くの方が誤解していますが、歯磨き=歯ブラシだけではありません。
本当の意味で歯を磨けている状態とは、
・歯ブラシ
・歯間ブラシ
・フロス
・舌ブラシ
・タフトブラシ
・洗口液
これらを組み合わせて、初めて歯のすべての面にアプローチできている状態です。
どれか一つ欠けるだけでも、汚れは確実に残ります。
なぜ歯周病は怖いのか
歯周病が進行すると、
・歯がグラグラする
・最終的に歯が抜ける
インプラントや入れ歯が必要になる
だけでなく、
・糖尿病
・心疾患
・認知症
など、全身の病気とも深く関係していることが分かっています。
歯周病は「気づいた時」がスタートライン
歯周病は、
・痛みがない
・若いうちから始まる
・歯ブラシだけでは防げない
という、とても気づきにくい病気です。
当院では、検査によって「今の状態」を正しく知ることを大切にしています。
・歯ブラシだけで済ませている
・歯間ブラシやフロスを使っていない
・検査を受けたことがない
このような方は、一度しっかりチェックしてみることをおすすめします。
歯を守る第一歩は、「磨いているつもり」から「本当に磨けている」状態に変えることです。
当院では患者様がお家でプロ並みに歯磨きができるように、ご指導させていただいています。
面倒な歯磨きも、色々なツールのやり方が分かればお家で簡単にケアできて健康に生きていける近道ですので、ぜひ一度ご相談ください。
